mtr.

Help make this better💜

Contribute here

Structure and Function of the Skin.

Icon

What You Will Learn

After reading this note, you should be able to...

  • This content is not available yet.
Read More 🍪
Icon

    Note Summary

    Icon

    This content is not available yet.

    close

    Click here to read a summary


    The primary function of skin is to maintain an internal environment that allows an organism to protect DNA and to reproduce it faithfully.

    Cutaneous structures include:

    1. An epidermis that serves as a barrier (e.g. to prevent fluid loss and infection)
    2. A dermis that provides circulation and nutrition.
    3. Subcutaneous tissue

    Other functions provided by the cells that reside in the skin include immune recognition, a capacity to repair damage, thermoregulation, and communication.

    Evidence that skin has failed may be found in barrier disruption, infection, autoimmunity, cancer, and an undesirable appearance.

    The skin is the human body’s largest organ.

    Covers 1.6 m2 of the body surface area.

    Accounts for approximately 16% of an adult’s body weight.

    Thickness is about 1.5 – 4.0mm

    Human skin is of 2 types - Glabrous (hair-free skin) or hair-bearing skin type.

    Glabrous skin includes the glans penis, labia minora, soles of feet, palmar surface of hands.

    Hairy Skin

    More than 90% of the body is covered by hairy skin.

    It is involved in perceiving a variety of tactile sensations and detection of the presence of foreign objects.

    In hairy skin, the epidermis is less than 0.1 millimeters thick and the dermis is 1–2 millimeters deep.

    Glabrous Skin

    Hair-free skin found mainly on the palms and soles. It is innervated by specialized nerves that help us to understand subtle tactile details.

    Such skin is thicker than hairy skin; the epidermis is about 1.5 millimeters thick and the dermis is about 3 millimeters deep.

    Characterized by thick epidermis and a compact stratum corneum.

    Lack of hair follicles and sebaceous glands.

    Hair-Bearing Skin

    Hair follicles and sebaceous glands are present.

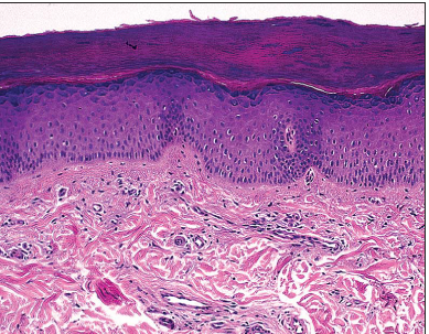
    Cross-Section though the Skin

    • Epidermis
    • Dermis
    • Subcutis (Subcutaneous fat)

    Epidermis

    • The human epidermis has a surface density of approximately 50,000 nucleated cells/mm.
    • Thinnest over the eyelids and scrotum
    • The cells in the epidermis are:
    1. Keratinocytes – about 95%
    2. Langerhans cells – about 3%
    3. Melanocytes - about 2%

    Over 95% composed of keratinocytes.

    Composed of mainly 4 layers of cells:

    • Stratum basale/germinatum: Germinative cells.
    • Stratum spinosum (suprabasal): Active in synthesis and replication.
    • Stratum granulosum: Grainy layer. Loss of replicating function, organelles preserved. Keratin, a tough fibrous protein, keratohyalin forms to cross-link keratin fibers (dense granules).
    • (Stratum lucidum: - The clear skin. Only in glabrous skin)
    • Stratum corneum: nucleus + organelles lost
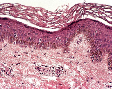
    Four Layers of the epidermis
    Micrograph of the Skin

    Normal Skin: Trunk- Note epidermal layers from the surface:

    1. Stratum corneum
    2. Stratum granulosum
    3. Stratum spinosum
    4. Stratum basale

    Tightly packed dermal collagen occurs near the epidermal–dermal junction, and more loosely arranged collagen is found deeper in the dermis.

    A cluster of small blood vessels and nerves is seen in the dermis.

    Micrograph of the Skin

    Epidermal keratinocytes proliferate and divide in the epidermal basal layer and move up to the upper layers as they mature (to form cornified cells - stratum corneum).

    The period between the production of daughter epidermal cells and their exfoliation from the outer surface of the epidermis is called the TURNOVER TIME, which is approximately 28 days in normal skin.

    It should be noted that keratinocytes have the capacity to increase their rate of proliferation and maturation to levels far greater than this when stimulated to do so by injury or inflammation.

    Function

    • Barrier against microbes, chemicals.
    • Prevents excessive bacterial colonization of the skin.
    • Impedes exchange of fluid and electrolytes.
    • S. corneum may increase in response to repeated trauma, friction, exposure to Ultraviolet radiation.

    Three other cells are normally found in epidermis.

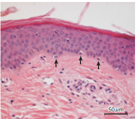
    Melanocyte

    • Dendritic cell situated in the basal layer.
      • Melanocytes are the pigment-producing cells of the epidermis.
      • Melanocytes secrete melanin-containing organelles called melanosomes which synthesize melanin pigment.
      • Protects DNA structure from ultraviolet light irradiation.
    • Racial differences in skin color are not caused by differences in the number of melanocytes. It is the number, size, and distribution of the melanosomes (pigment granules) within keratinocytes that determine differences in skin color.
    • Pale skin has fewer melanosomes, and these are smaller and packaged within membrane-bound complexes. Dark skin has more melanosomes, and these tend to be larger and singly dispersed.
    • Chronic sun exposure can stimulate melanocytes to produce larger melanosomes.
    Melanocytes seen as clear arrows.
    Melanocyte–keratinocyte unit. The dendritic melanocyte, shown here as a clear cell with many branches, provides melanin pigment to many keratinocytes

    Langerhans cells

    Antigen-presenting cells. Important in immune surveillance. Primarily distributed in stratum spinosum.

    Merkel cell

    Slow-adapting type 1 mechanoreceptors in basal keratinocytes in areas of light tactile sensitivity.

    Merkel cells are scarce in normal skin, but they are commonly found in innervated clusters around hair follicles. These cells are thought to function as slowly adapting mechanoreceptors that mediate the senses of touch and hair movement.

    Dermo-Epidermal Junction

    • Extensive interface between dermis and epidermis
    • Ultrastructurally, this zone is composed of four components:
    1. The plasma membranes of the basal cells with the specialized attachment plates (hemidesmosomes)
    2. An electron-lucent zone called the lamina lucida
    3. The lamina densa (basal lamina)
    4. The fibrous components associated with the basal lamina, including anchoring fibrils, dermal microfibrils, and collagen fibers
    Dermo-Epidermal Junction

    Basement Membrane

    • Functions:
    1. Semi-penetrable membrane.
    2. Epidermal anchorage to dermis.
    3. Dermal signals for migration and differentiation.
    4. Provide resistance against external shearing forces.
    5. Maintain tissue architecture during remodeling and repair.
    6. Disruption of the structures of the basement membrane zone and dermis leads to several blistering disorders, e.g., bullous pemphigoid (target for autoimmune attack).
    The basement Membrane. Illustration of the connection of a basal cell keratinocyte with the BMZ and dermis.

    Dermis

    • Vascularized - Nutritional, structural support, and cutaneous sensation.
    • Composed predominantly of elastin and collagen (types I, III, IV, & VII) fibers in a mucopolysaccharide gel.
    • Other elements present: Mast cells, inflammatory cells, blood and lymph vessels, cutaneous nerves, and hair follicles.
    • Mature collagen is rigid and cross-linked with adjacent protein, limiting skin distension. Defective collagen can lead to excessive distensibility, e.g., Ehlers-Danlos syndrome or blisters in epidermolysis bullosa.
    • Fibroblasts, macrophages, and dermal dendritic cells complete the list of cutaneous residents, providing nutrition and cutaneous sensation.
    • he DERMIS is a connective tissue layer
    • composed of collagen & elastic fibers, fibroblasts, macrophages & mast cells.
    • Contains blood vessels, glands, nerves & hair follicles
    • Two major regions of dermis
      • papillary region
      • reticular region

    PAPILLARY DERMIS:

    • Upper part of dermis
    • Top 20% of dermis
    • Finger like projections called reticular dermis
    • Anchors epidermis to dermis
    • Contains Meissner’s corpuscles (touch) & free nerve endings for sensations of heat, cold, pain, and itch

    RETICULAR DERMIS:

    • Dense irregular connective tissue
    • Contains interlacing collagen and elastic fibers
    • Provides strength, extensibility & elasticity to skin
    • Ruffini nerve receptors -> pressure touch.
    • Pacinian corpuscles -> vibratory pressure & touch.

    Lymphatics: Important in regulating pressure of the interstitium by fluid resorption, clearing of cells, proteins, lipids, bacteria, and degraded substances.

    Cutaneous nerves

    • Network of somatic sensory and sympathetic autonomic fibers.
    • Nerve fibers enter via the subcutaneous tissue.
    • Distribution: 2 nerve plexuses; deep and subpapillary.

    Epidermal Appendages

    Hair

    • Generalized except for glabrous skin: glans, vulva, palms, and soles.
    • 100,000 hairs on the scalp, rate of growth is 0.4mm/24hrs.
    • Density of hair follicles vary; highest on the face.
    • 3 types of hair:
      • Lanugo hair (20 wks intrauterine life).
      • Vellus hair: short, fine, light.
      • Terminal hair: larger, thicker, darker.
    Hair cycle

    Anagen phase: Regular period of growth.

    Catagen phase: Transition phase.

    Telogen phase: Resting phase.

    Sweat glands

    • Eccrine:
      • Coiled portion deep in reticular dermis and excretory duct.
      • Universal distribution. More in soles, palms, axillae, and forehead. Under physiologic and thermal control.
    • Apocrine:
      • Open into hair follicles. Larger than eccrine. Numerous around areolar, axilla and perineum.

    Both eccrine and apocrine sweat glands are innervated by postganglionic sympathetic fibers. For eccrine glands, the major neurotransmitter is acetylcholine, and for apocrine glands, catecholamines are the major neurotransmitters.

    Nail Plate

    • Produced by epithelial cells in the nail matrix
    • Adherent to the nail bed
    • Cells mature and get keratinized
    • Newborn nails are spoon-shaped until 2-3 years of age
    • Thickened epidermis underlying the free margin is the hyponychium
    • Nails are important in protecting the digits and in assisting subtle sensation in the fingertips.
    Anatomy of the nail

    Sebaceous Gland

    • Produces sebum by holocrine secretion
    • Largest on face, scalp, chest, and back
    • Associated with hair, present all over except in palms, soles, and dorsum of feet
    • Glands grow and get active at puberty, sensitive to androgens

    Subcutaneous fat tissue

    • The layer between the dermis and fascia
    • The fat tissue acts as a cushion against external physical pressure, retains moisture
    • The thickness of the subcutaneous tissue depends on the body site, age and other factors
    • Fat cells separated by the connective fibroid fat septum are called fat lobules

    Subcutaneous Fat

    • Composed principally of lipocytes organized in lobules defined by septa of fibrous connective tissue.
    • Functions:
      • Cushions trauma
      • Acts as a heat insulator
      • Serves as an energy store

    • Barrier function
    • Prevention of desiccation
    • Immune surveillance
    • Temperature control
    • Cutaneous sensation
    • Mechanical protection-callosity
    • Excretion of chemicals and drugs
    • Production of Vitamin D
    • Protection from UVA damage-skin aging, cancer
    • Aesthetics-lips, nails, hair

    Firm understanding of skin anatomy and function is vital for the recognition and treatment of skin diseases.


    Icon

    Practice Questions

    Check how well you grasp the concepts by answering the following questions...

    1. This content is not available yet.
    Read More 🍪
    Comment Icon

    Send your comments, corrections, explanations/clarifications and requests/suggestions

    here

    Contributors


    Contributor 1 Avatar

    Jane Smith

    She is not a real contributor.

    Contributor 2 Avatar

    John Doe

    He is not a real contributor.