mtr.

Help make this better💜

Contribute here

Non-Dermatology Manifestations of HIV

Icon

What You Will Learn

After reading this note, you should be able to...

  • This content is not available yet.
Read More 🍪
Icon

    Note Summary

    Icon

    This content is not available yet.

    close

    Click here to read a summary


    Some complications of HIV infection are the direct result of long-term infection, whereas others are the indirect result of aging, antiretroviral therapy, or other patient factors. Physicians should always consider the patient's most recent CD4 lymphocyte count (and nadir, if known) and assess preexisting conditions, medication use, health behaviors, and recent exposures. Although many opportunistic infections (e.g., pneumocystosis, toxoplasmosis, cryptococcosis) occur in patients with low CD4 lymphocyte counts, others (e.g., oral candidiasis, tuberculosis) can appear at any level.

    Advanced HIV infection can lead to opportunistic infections of the brain and spinal cord. Well-known pathogens include Toxoplasma gondii, Cryptococcus neoformans, and JC virus. Primary central nervous system lymphoma may also affect severely immunocompromised patients. Infections and malignancy cause variable neurologic symptoms, usually reflecting the location and severity of disease.

    For example, patients with solitary lesions often present with headache or focal deficits, whereas patients with increased intracranial pressure from substantial masses (with or without edema) may have visual disturbances, nausea, or altered consciousness. Patients with meningitis or encephalitis generally present with one or more of the following: fever, headache, neck pain or stiffness, altered mental status, or seizure. Symptoms of myelopathy include weakness and sensory changes; upper motor neuron signs, such as spasticity and hyperreflexia, may also be found.

    Head computed tomography depicting a ring-enhancing lesion in a patient with central nervous system toxoplasmosis.
    Head computed tomography showing a space-occupying, solitary lesion in a patient with primary central nervous system lymphoma.

    HIV usually affects the peripheral neurologic system as neuropathy (i.e., distal sensory polyneuropathy) or radiculopathy (usually a lumbosacral polyradiculopathy). These conditions may be exacerbated by antiretroviral drug use or other conditions (e.g., diabetes mellitus). Polyradiculopathy may also be caused by cytomegalovirus in patients with AIDS.

    Patients with distal sensory polyneuropathy generally present with symptoms of paresthesia, dysesthesia, or numbness of the bilateral extremities, whereas patients with lumbosacral radiculopathy typically experience radiating back pain, occasional asymmetric leg weakness, sacral or lower extremity sensory loss, and possible bowel or bladder dysfunction.

    Examination findings include decreased or absent deep tendon reflexes and impaired vibration/pinprick perception. In addition to a thorough neurologic examination, the diagnosis of peripheral neurologic system complications may require electromyography, nerve conduction studies, or magnetic resonance imaging of the brain or spinal cord to evaluate for central lesions and peripheral nerve root impingement. Occasionally, cerebrospinal fluid examination may be warranted to look for opportunistic pathogens.

    Studies demonstrate higher rates of myocardial infarction and atherosclerosis in patients with HIV infection. HIV appears to independently increase the risk of cardiovascular disease via elevated cytokine levels, chronic vascular inflammation, and endothelial dysfunction. Traditional risk factors, such as smoking, are also prevalent in patients with HIV infection.

    Virally mediated vascular effects may then be compounded by lipid or metabolic changes caused by infection and antiretroviral use. For example, abacavir (Ziagen) has been widely investigated for direct cardiotoxicity. Currently, cardiac risk assessment and dyslipidemia recommendations for persons with HIV infection are based on the National Cholesterol Education Program, Adult Treatment Panel III guidelines.

    Pneumocystis jiroveci (formerly Pneumocystis carinii) pneumonia remains relatively common in patients with HIV infection, and may be the presenting manifestation of HIV in patients who have not yet been diagnosed. Patients with P. jiroveci pneumonia classically present with fever, progressive exertional dyspnea, and nonproductive cough. Although there are a wide variety of radiologic findings, chest radiography typically shows bilateral interstitial infiltrates.

    Empiric treatment is appropriate in patients with mild, classic symptoms and CD4 lymphocyte counts of 200 per mm3 (0.20 × 109 per L) or less. However, further diagnostic techniques (e.g., induced sputum examination, transbronchial biopsy with or without bronchoalveolar lavage) should be used if patients do not improve after four to five days of empiric therapy. Severe pneumococcal pneumonia and infections caused by atypical organisms (i.e., Legionella species) or other opportunistic pathogens should also be considered, depending on CD4 lymphocyte counts and geographic location.

    Rates of pulmonary arterial hypertension, chronic obstructive pulmonary disease, and lung cancer have remained the same or increased in patients with HIV infection over the past few decades. Although the exact etiology of HIV-associated pulmonary hypertension is largely unknown, vascular pathologic changes and clinical presentation (e.g., exertional dyspnea, fatigue, cough, edema) are similar to those in patients without HIV infection.

    Initial evaluation involves electrocardiography and echocardiography. Imaging and pulmonary function tests can help exclude other diagnoses. Cardiac catheterization is considered the diagnostic standard to quantify pulmonary pressure and guide treatment, which may include diuretics, digoxin, calcium channel blockers, anticoagulants, and supplemental oxygen. Agents targeting the prostacyclin, nitric oxide, and endothelin pathways (i.e., epoprostenol (Flolan), sildenafil (Revatio), and bosentan (Tracleer) are also used. The effect of combination antiretroviral therapy on the clinical course and prognosis of HIV-associated pulmonary hypertension remains uncertain.

    Additionally, research suggests that HIV accelerates emphysema-associated processes in patients who smoke, leading to earlier development and high rates of chronic obstructive pulmonary disease. HIV also appears to raise the risk of lung cancer, even independent of smoking (one study reported a hazard ratio of 3.6). Because studies have yet to determine whether antiretroviral therapy alters chronic obstructive pulmonary disease and lung cancer development in patients with HIV infection, tobacco cessation remains the most important preventive measure for those with HIV who smoke.

    Oral and Esophageal Disease

    HIV-related upper digestive tract complications are well documented. Candidal infection often affects the oral cavity, leading to dysphagia or odynophagia, or the esophagus, manifesting as sharp or burning substernal discomfort. Aphthous ulcers and oral ulcers/esophagitis caused by cytomegalovirus or herpes simplex virus may also occur, especially in patients with CD4 lymphocyte counts of 200 per mm3 or less.

    Diagnosis of these viral infections is made by histologic examination after biopsy; aphthous ulcers should be considered in patients with oral/esophageal ulcers only after excluding infections. Physicians should also routinely examine patients for oropharyngeal cancer, given the prevalence of oral human papillomavirus (11 to 37 percent), smoking, and alcohol use in patients with HIV infection.

    Other Digestive Tract Complications

    The assessment of gastrointestinal complications is often directed by the degree of immunosuppression and the nature and duration of symptoms. Diarrhea is a common symptom in adults with HIV infection. In one sample, approximately 40 percent of patients reported at least one episode of diarrhea in the preceding month.

    Pancreatic and Hepatobiliary Complications

    HIV-associated pancreatitis is now primarily caused by antiretroviral use and hypertriglyceridemia, rather than opportunistic infections. Although acalculous cholecystitis may occur, the incidence of cholelithiasis does not appear to be increased by HIV. Chronic liver disease from viral or nonviral hepatitis has become a leading cause of morbidity and mortality in patients with HIV infection; patients should be screened for viral hepatitis at the time of HIV diagnosis.

    Nonalcoholic fatty liver disease has also been recognized as an important complication of HIV, especially in patients with hepatitis C coinfection. Nonalcoholic fatty liver disease is associated with various factors, including visceral adiposity, insulin resistance, dyslipidemia, and mitochondrial toxicity. Because traditional inflammatory biomarkers are often normal and ultrasonography is somewhat insensitive, new biomarker panels and imaging modalities (i.e., transient elastography) are being investigated.

    Because the individual and public health consequences of untreated sexually transmitted infections in patients with HIV infection are considerable, prompt diagnosis and management of these infections are essential. Genital herpes increases the risk of HIV transmission; studies have yet to confirm whether suppressive herpes treatment reduces this risk. Management of most sexually transmitted infections in patients with HIV infection is similar to that for persons without HIV infection.

    The spectrum of HIV-associated renal disease has evolved. Acute and subacute complications related to antiretroviral therapy, such as protease inhibitor–associated nephrolithiasis and nephrotoxicity from tenofovir (Viread) use, continue to occur. Rates of end-stage kidney disease caused by HIV-associated nephropathy have stabilized, whereas diabetes, hypertension, and hepatitis C are emerging as major risk factors for chronic kidney disease in patients with HIV infection.

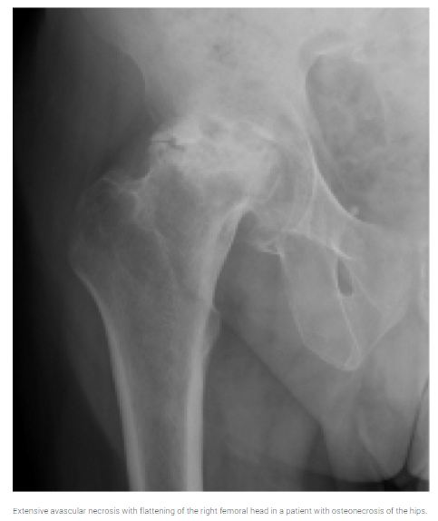
    Studies estimate a three- to sixfold increased risk of reduced bone mineral density in patients with HIV infection. Preliminary work also suggests an increased prevalence of fractures. Various antiretrovirals have been associated with osteopenia and osteoporosis, although other factors (e.g., weight, nadir CD4 lymphocyte count, menopausal status, chronic steroid use) may play a role. Given the lack of data, osteoporosis screening for patients with HIV infection remains somewhat controversial.

    Extensive avascular necrosis with flattening of the right femoral head in a patient with osteonecrosis of the hips.
    <🇵🇼 >Myopathy from older nucleoside analogues may now be less common because of the availability of newer agents. HIV also causes an autoimmune-mediated myopathy. Physicians should be especially careful with patients on antiretrovirals (particularly protease inhibitors), because coadministration of these drugs with commonly prescribed medications (e.g., statins, calcium channel blockers, antiepileptics) may lead to myopathy, rhabdomyolysis, and possibly HIV treatment failure.


    Icon

    Practice Questions

    Check how well you grasp the concepts by answering the following questions...

    1. This content is not available yet.
    Read More 🍪
    Comment Icon

    Send your comments, corrections, explanations/clarifications and requests/suggestions

    here

    Contributors


    Contributor 1 Avatar

    Jane Smith

    She is not a real contributor.

    Contributor 2 Avatar

    John Doe

    He is not a real contributor.