mtr.

Help make this better💜

Contribute here

Multiple Sclerosis

Icon

    Definition: An inflammatory, relapsing, or progressive disorder of CNS white matter.

    • Its diagnosis requires 2 separate episodes of CNS demyelination separated in space and time.
    Demyelination

    • A major cause of disability in young adults.
    • 1/1,000 individuals in the UK affected.
    • Not a common disease in Blacks.

    • Pathologic hallmark of MS is the plaque which is an area of demyelination with relative preservation of axons.
    • Active lesions may have associated inflammatory response and edema.
    • Plaques can be found in any part of the white matter of the brain and spinal cord.
    • The plaques however have a predilection for the periventricular white matter, the corpus callosum, and optic nerve.

    • The area of demyelination disrupts the conduction of nerve impulse.
    • This initially blocks conduction, but with recovery conduction is slowed and the refractory period is prolonged.
    • Conduction along areas of demyelination is particularly sensitive to temperature changes and may fail if the temperature rises.

    • The etiology is unknown.
    • There is a minor genetic component:
      • The relative risk of a 1st degree relative of an MS patient developing the same diagnosis is 2-4 times that of the general population.
      • Also associated with HLA antigens DR2 and DW2.
    • There is some geographical and racial variation in disease prevalence:
      • Lower rates in tropical countries and migrants from low prevalence areas remain at low risk if they move when they are older than 15 years of age. If they move at a younger age, they take on the risk of their new home.

    • Peak age of onset: 25-35 years.
    • Rare below 15 years and above 60 years.
    • Female to Male ratio is 1.5:1.
    • There are two patterns of disease:
      • Relapsing remitting: characterized by clear relapses followed by recovery. This may progress to a secondary progressive form where there is a progressive increase in disability.
      • Primary progressive: characterized by progressive deterioration from onset. Accounts for about 10% of patients.

    Symptoms and signs

    • Sensory:
      • Most common symptom.
      • Occurs in 40% of new patients.
      • Usually described as numbness, coldness, pins and needle sensation.
      • The sensory symptom may be radicular, especially in the limbs and over the lower trunk.
      • Onset is over a few days with resolution in weeks or months.
      • Signs may be absent or relatively subtle, usually affecting vibration sense and proprioception more than superficial modalities.
    • Visual symptoms and signs:
      • Optic neuritis is a common initial manifestation
      • Visual disturbance evolves over a few days with distortion of the central vision and impairment of colour perception.
      • There may be pain on eye movement.
      • Optic disc usually appears normal though there may be optic atrophy following an episode of optic neuritis.
      • Vision improves over months, though this may be incomplete particularly if visual loss was severe initially.
      • Uhthoff’s phenomenon: Decrease in visual acuity following a rise in temperature due to fever, hot bath, or exercise.
      Optic Neuritis
    • Motor symptoms and signs:
      • Paraparesis
      • Hypertonia (spasticity)
      • Exaggerated deep tendon reflexes
      • Extensor plantar response
      • Weakness of arms is less frequently a problem
    • Spinal cord:
      • Motor and sensory problems can be clearly localized to a single lesion in the spinal cord due to myelitis.
      • The myelitis is usually incomplete producing a hemicord lesion (Brown-Sequard syndrome), though it can be complete (Transverse myelitis).
      • Brown-Sequard Syndrome
    • Brain stem and cerebellum:
      • Diplopia is a common early symptom and results from CNs 3, 4, or 6 affectation.
      • Facial numbness
      • Dysarthria
      • Nystagmus
      • Gait and truncal ataxia later in the diagnosis
    • Higher cortical function and mood:
      • Mild cognitive deficit
      • Dementia is uncommon
    • Sphincter and sexual function:
      • Frequency and urgency of micturition and to a lesser extent, defecation usually parallel the motor weakness in the limbs
      • There can be impotence in men

    • Infection
    • Trauma
    • Pregnancy: There is a relative reduction during pregnancy with a slight increase afterwards

    • Optic nerve compression
    • Neuromyelitis optica (Devic’s disease)
    • Spinal cord compression syndromes
    • Vitamin B12 deficiency
    • HTLV-1 associated myelopathy
    • Familial spastic paraparesis
    • Amyotrophic lateral sclerosis
    • Cranial polyneuritis
    • Other inflammatory diseases e.g. SLE, polyarteritis nodosa

    • MRI:
      • This is particularly useful in detecting clinically silent lesions.
      • More than 90% of patients with clinically definite MS have abnormal MRI.
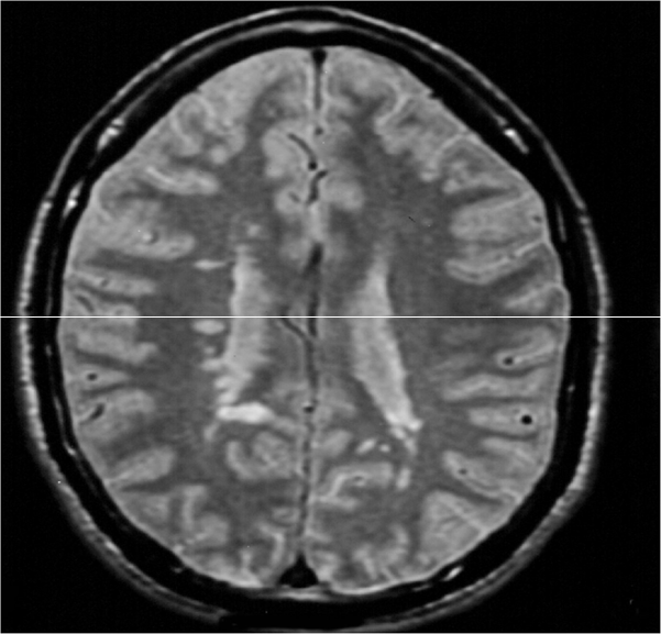
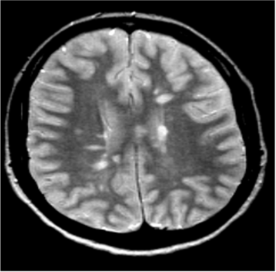
    • Brain MRI
      Brain MRI
      Spinal Cord MRI
    • CSF analysis:
      • This shows oligoclonal bands in the CSF but not in the serum.
      • Oligoclonal bands indicate intrathecal synthesis of Igs.
      • It is present in about 95% of patients with clinically definite MS.
    • CSF Analysis

    • Variable
    • Life expectancy is reduced by 5-10 years
    • Half of patients will move to the progressive phase by 10 years and half will require aids to walk by 17 years
    • Prognosis is worse in men
    • Sensory symptoms or optic neuritis tend to indicate a better prognosis

    • Educate the patient and relatives
    • Treatment:
      • No cure yet
      • Majorly symptomatic
      • Steroid is given to accelerate recovery in a patient with relapse. It is usually given as IV methylprednisolone
      • Treat pain with pain modulating drugs e.g. amitriptyline or carbamazepine
      • Use of immunomodulating drugs e.g. cyclophosphamide, azathioprine, ß interferon, and copolymer-1 have given variable results
      • Vitamin D supplementation

    FDA-Approved Therapies for Relapsing-Remitting Multiple Sclerosis
    Drug FDA approval Route Frequency Reduction in relapses Placebo ARR NNT to prevent a relapse (relative to ARR)
    Interferon B-1b 1993 SC QOD 31% 1.27 3.2
    Interferon B-la 1996 IM Weekly 32% 0.9 3.1
    Glatiramer Acetate 1996 SC Daily 29% 0.84 3.4
    Mitoxantrone beta-1a 2000 IV Quarterly 65% 131 1.5
    Interferon 2002 SC TIW 32% 1.28 3.1
    Natalizumab 2004/2006 IV Monthly 66% 0.73 1.5
    Fingolimod 2010 PO Daily 60% 0.4 1.7

    Comment Icon

    Send your comments, corrections, explanations/clarifications and requests/suggestions

    here Image Icon