mtr.

Help make this better💜

Contribute here

Management of HIV and AIDS

Icon

What You Will Learn

After reading this note, you should be able to...

  • This content is not available yet.
Read More 🍪
Icon

    Note Summary

    Icon

    This content is not available yet.

    close

    Click here to read a summary


    HIV is a retrovirus that infects human cells with CD4 receptors, primarily targeting helper and memory T-lymphocytes, which play a crucial role in the body's immune response.

    Normal CD4 count ranges from 500-1400 cells/mm3.

    HIV depletes CD4 cells, leading to a weakened immune response, increased susceptibility to infections, and the prevalence of opportunistic diseases.

    Monitoring CD4 counts is vital in assessing HIV severity and evaluating responses to antiretroviral therapy (ART).

    In national HIV treatment guidelines, a CD4 count of 500 cells/mm3 is an indication to initiate ART, and a 25% decline necessitates a therapy change.

    There are two types of HIV: HIV-1 and HIV-2.

    HIV-1 is the most virulent of the two and is responsible for the majority of global infections.

    It is derived from SIV acquired from Chimpanzee (Pan troglodytes troglodytes) that are found in the forests of Central African nations like Cameroon, Gabon, and Republic of Congo.

    The animal reservoir for HIV-2 is the sooty Mangabey monkeys (Cercocebus atys) found in countries such as Senegal, Guinea, Sierra Leone, Liberia, and Ivory Coast.

    By DNA sequencing, HIV-1 is subdivided into four groups: group M (world-wide distribution), group O, group N, and group P.

    The latter two (N and P) are rare and are derived from Gorilla SIV found in West and Central African nations like Cameroon and Gabon.

    Group M is further sub-classified into 11 genetically distinct subtypes: A-K10,11. These subtypes are unevenly distributed worldwide, but Africa has a disproportionately higher share.

    Subtypes A and D are found in West, East, and Central Africa, as well as Eastern Europe. Sub-type B is predominant among MSM12 in Europe and North America. Subtype C is the major cause of all new HIV infections worldwide (South Africa, Brazil, and India). Subtype E is found in Southeast Asia.

    Subtype F: Brazil, Romania, D.R. Congo. Subtype G: D.R. Congo, Gabon, Russia. Subtype H: D.R. Congo, Gabon, Russia, Central Africa. Subtype I: Cyprus. Subtype J: Central America. Subtype K: D.R. Congo and Cameroon.

    HIV-2 has eight subtypes (A-H); however, only subtypes A and B are in epidemic. It differs from HIV-1 in that patients have lower viral loads and slowly progress to AIDS.

    HIV super-infection

    Occasionally, two viruses of different types or subtypes can co-infect a cell and mix their genetic material together to create a new hybrid virus13.

    The hybrid could be a weaker virus that is unable to replicate and dies out, or it could be a strengthened virus that has become more virulent and less susceptible to ART.

    The importance of HIV super-infection is that it makes HIV diagnosis, its treatment, and vaccine development very difficult to achieve.

    HIV binds to CD4 receptors on the T-lymphocytes and other CD4 bearing cells via a tentacle called glycoprotein 120, figure 1.

    It then fuses and penetrates the host-cell membranes using chemokine-receptor; CCR5 or CXCR4.

    Other receptors such as: CCR3, CCR2, CCR8, and CX3CR1 could also facilitate HIV fusion and entry into the host cells14.

    Upon entry into the host cell, HIV will hide its genetic codes in that of its host, and when the host cell tries to make its own proteins, it will make new viral particles as well.

    These processes are facilitated by HIV reverse transcriptase, integrase, and protease enzymes1.

    The newly produced daughter HIV will infect new CD4 cells which will, in turn, repeat the reproductive cycle.

    By estimates, more than 1010 viruses are produced per day and about 109 CD4 cells are destroyed9.

    CD4 cells will be depleted to a point (<200 cells/mm3) where it can no longer coordinate the patient’s immune system.

    This is the stage of AIDS. At this point, patients are susceptible to varieties of opportunistic infections (OIs) and some HIV-related cancers.

    HIV replication cycle

    CD4 bearing lymphocytes and monocytes lineage are the principal targets of HIV.

    These cells have been shown to support HIV replication in infected patients. During replication, however, a small percentage (< 0.01%) of CD4 cells will enter into a post-integration latent phase and represent the main reservoir of HIV in the human host.

    These resting cells are unaffected by the ART because they replicate at a very, very low-level. They serve as the refueling points for HIV upon discontinuation of ART9.

    HIV also infects a variety of other cells, which could not, however, support its replication because they only express a small amount of CD4 molecule and its coreceptor on their surfaces.

    CD4 bearing lymphocytes and monocytes lineage are the principal targets of HIV.

    These cells have been shown to support HIV replication in infected patients. During replication, however, a small percentage (< 0.01%) of CD4 cells will enter into a post-integration latent phase and represent the main reservoir of HIV in the human host.

    These resting cells are unaffected by the ART because they replicate at a very, very low-level. They serve as the refueling points for HIV upon discontinuation of ART9.

    HIV also infects a variety of other cells, which could not, however, support its replication because they only express a small amount of CD4 molecule and its coreceptor on their surfaces.

    Among these are:

    • blood cells comprising circulating dendritic cells
    • epidermal langerhans
    • megakaryocytes
    • eosinophils
    • brain cells comprising astrocytes, oligodendrocytes, microglial cells
    • CD8- T cells
    • B cells
    • NK cells
    • renal epithelial cells
    • cells lining the female genital tract
    • cells lining the intestinal mucosal such as enterochromaffin, goblet, and columnar epithelial cells
    • cells from a variety of other organs, such as the liver, lung, heart, eye, prostate, testes, and adrenal gland.

    These cells represent additional HIV reservoirs for repopulating the body whenever its stores of HIV are depleted.

    Cells susceptible to HIV infection
    System Cells
    Blood cells CD8+ T-lymphocytes, Macrophages, Monocytes, Dendritic cells, B-cells, NK cells, Stem cells and Megakaryocytes
    Brain cells Microglia, Astrocytes and Oligodendrocytes
    Intestinal cells Columnar epithelial cells
    Others Kupffer cells (liver), Synovial cells (joint) and renal epithelial cells (kidney)

    HIV Counselling and Testing (HCT)

    Which could be client or health care worker initiated. This is an essential component of HIV/AIDS care that helps to reduce risky behaviors and aids early detection and management of new infections.

    Individuals are counseled before and after the test. The courage of our clients is routinely commended for presenting for the test and their degree of vulnerability is explored to know areas of their social life to emphasize on during post-test counseling.

    Thereafter they are educated on measures of HIV prevention. Condoms are provided free. Its use is demonstrated, and they are encouraged to use it during social sex.

    Clients are allowed to ask questions and encouraged to join our support groups if tested positive.

    The level of public awareness of HIV/AIDS in the state is quite impressive, as many people (94%) know the routes of transmission of the virus, namely; unprotected sex, transfusion of an infected blood, and accidental pricks from contaminated needles and sharp objects and from an infected mother to child.

    They equally know that the virus is not contracted from touching, hugging, or sharing household utensils or using public toilets38.

    Despite this high level of AIDS-related awareness, the majority of the populace have a very poor personal risk perception of acquiring the infection. Only 3.9% consider themselves at risk of contracting HIV and 60% are not ready to have HCT.

    HIV Status Disclosure

    Status disclosure is a strong prerequisite for a successful HIV/AIDS control program. Clients are encouraged to disclose their status to a spouse or a trusted family member. This may encourage them to seek testing or change from risky behavior. In addition, disclosure encourages adherence to medications.

    Identified reasons for low disclosure rate were fear of discrimination, stigmatization, and shame of being labeled sexually loose, fear of possible violence, outright rejection or divorce, especially among the females in polygamous marriages, and future difficulties of getting suitors for the singles amongst them.

    The problem of disclosure could be resolved by requesting each client to have a treatment support partner who would be in the know of their status and give necessary supports and the employment of treatment support specialists (TSS) by the UITH’s management who were role-playing positive living with HIV/AIDS at every clinic session. With these measures in place along with sustained community awareness campaign against discrimination, a far higher disclosure rate of 70% was recorded six years later.

    HIV Care and Support

    Psychological supports and reassurances are provided to our patients to cope with the news of being newly diagnosed HIV positive. They are taught how to positively live with the virus, especially prompt report and treatment of HIV-related illnesses and healthy lifestyle. To these, water guard, insecticide-treated mosquito nets, buckets, and water jars are provided to the newly diagnosed patients, and to those on follow-up care; water guard and an unlimited supply of condoms are provided at each clinic visit.

    PLHIV are encouraged to join and regularly attend one of our six support groups’ meetings (Morning Stars, Save Lives, Anuoluwa, Golden Women, Love and Care, and Kiddies Club). They are encouraged to speak out on issues bothering them so that solutions could be proffered.

    Provision of adults ARV care

    For easy understanding; PLHIV could be grouped into three: asymptomatic group; (WHO stage 1), symptomatic group with early features of HIV infection; (WHO stages 2 & 3); and those with established AIDS defining illnesses; (WHO stage 4). What is common to all these groups is a persistent viral replication with varying degree of CD4 cells depletion. The aim of management in all the groups therefore is to reduce viral replication to as low a level as possible and maintain it there.

    Treatment of Asymptomatic Group

    Consists of advice on good nutrition, prevention of HIV transmission to others, and follow-up counseling. PLHIV are enjoined to take locally available, cheap nutritious foods such as grains, legumes, lots of fruits and vegetables, and poultry in adequate quantity. Courtesy of IHVN, patients are routinely given action meal supplements. This is a blend-in high energy meal from maize, soya beans, and groundnut that is fortified with minerals and essential vitamins.

    Further transmission of the virus to others is discouraged by advising PLHIV to voluntarily abstain from sex or be faithful to their spouses or regularly use condoms if the earlier two options are difficult to adopt. To this end, free condoms are available at every clinic visit to all our clients and to people on courtesy and social visits to our clinic.

    To prevent mothers-to-be from infecting their unborn babies, they are encouraged to get pregnant only when their CD4 cells count is well above 500 cells/mm3, register early for antenatal care with our PMTCT team, and report early to the hospital once they fall into labor. By these measures, the mother is assured of a continuum of a comprehensive package of care from preconception stage with the adult ART team to having her pregnancy, labor, and delivery supervised by the PMTCT team who will also offer her reproductive healthcare advice post-delivery.

    Her baby would also benefit from care and advice from the Paediatrics ART team on safer infant-feeding practices.

    To date, over 300 women who are positively living with HIV in our center have been successfully delivered of HIV-free babies.

    Treatment of Symptomatic PLHIV

    Consists of prevention and treatment of OIs, provision of ARV drugs, and palliative care. OIs are common amongst PLHIV and they increase their morbidity and mortality. They are, therefore, better prevented or aggressively treated when diagnosed. The level of CD4 counts is an important guide for determining the time of initiation and discontinuation of prophylaxis against OIs41, table 2. We have observed a strong correlation between CD4 cells count and the level of immunologic competence of PLHIV as well as the OIs they are susceptible to42. Patients with CD4 count less than 350 cells/mm3 are routinely commenced on co-trimoxazole prophylaxis.

    CD4 Count Opportunistic Infections
    >500 Candida vaginitis
    200-500 Pneumococcal disease, herpes zoster, Pulmonary TB, KS, thrush, cervical cancer
    <200 PneumoCystis jiroveci pneumonia-PCP, miliary TB, extrapulmonary TB, disseminated histoplasmosis, recurrent bacterial disease (e.g.pyomyositis), non-Hodgkin’s lymphoma
    <100 Toxoplasmosis, cryptococcosis, chronic cryptosporidiosis, microsporidiosis, candida esophagitis/bronchitis
    <50 Mycobacterium avium intracellulare complex, cytomegalovirus, CNS lymphom, PML

    Provision of Antiretroviral (ARV) Drugs

    Knowledge of the life cycle of HIV has led to the development of drugs (ARVs) that target different stages of the viral reproductive process, Figure 4. ARV drugs cannot cure HIV/AIDS, but can halt disease progression and allow the immune system to recover.

    Sites of action of different ARV drugs

    ARV drugs are taken daily for life. Their remedial effects are observed qualitatively as clinical improvement and could be measured quantitatively by estimates of both viral load and CD4 cell count.

    Indications to start ARV drugs

    National ART Guideline44 recommends that therapy should be initiated in the following category of patients:

    1. PLHIV with CD4 cell count less than 200 cells/mm3 with or without symptoms,
    2. Symptomatic PLHIV with CD4 count less than 350 cells/mm3,
    3. Patients with an AIDS-defining illness.

    Such a patient will have clinical (OIs, psychiatric illness, pregnancy, alcohol) and laboratory (complete blood count, liver and renal function tests, serum glucose, lipid profiles, and viral load) assessments to determine the appropriate ART that would best suit him/her. Two Nucleoside reverse transcriptase inhibitors (NRTIs) are usually combined with a Non-nucleoside reverse transcriptase inhibitor (NNRTI) or a Protease inhibitor (PI), or an integrase inhibitor (II) to make up a triple drug regimen popularly called HAART- Highly Active Antiretroviral therapy.

    Classes of Antiretroviral Drugs
    Class Antiretrovirals
    NRTIs Zidovudine
    Didanosine
    Lamivudine
    Abacavir
    Emtricitabine
    Tenofovir Zalcitabine
    NNRTIs Nevirapine
    Efavirenz
    Delavirdine
    Etravirine
    Rilpivirine
    PIs Atazanavir
    Saquinavir
    Indinavir
    Nelfinavir
    Lopinavir
    Darunavir
    Tiprinavir
    IIs Raltegravir
    Elvitegravir
    Dolutegravir
    Bactegravir
    FIs Enfuvirtide
    EIs Maraviroc
    Ibalizumab

    Single Tablet Regimens

    • Efavirenz (EFV) + Tenofovir Disoproxil Fumarate (TDF) + Emtricitabine/Lamivudine (FTC/3TC)
    • Rilpivirine (RPV) + Tenofovir Disoproxil Fumarate (TDF) + Emtricitabine (FTC)
    • Elvitegravir (EVG) + Tenofovir Alafenamide (TAF) + Emtricitabine (FTC) + Cobicistat (COBI)
    • Dolutegravir (DTG) + Abacavir (ABC) + Lamivudine (3TC)
    • Doravirine (DOR) + Tenofovir Disoproxil Fumarate (TDF) + Lamivudine (3TC)
    • Dolutegravir (DTG) + Rilpivirine (RPV)

    Adherence Counseling

    Adherence is to behave as agreed with the health care provider, i.e., come to 100% of appointments and take 100% of ARV medications (in the correct dose, at the correct frequency, and at the correct time). This exercise involves active participation of the patient, their health care providers, and treatment support partners (family, friend, or HIV+ peers). Adherence is the key determinant of ART success. It leads to a long-term decrease in viral load with a reciprocal improvement in the body's immune system and a lower risk of OIs.

    However, to achieve these goals, a minimum of 95% or greater adherence is needed from PLHIV. Patients can only miss 1½ days of ARV drugs, which is a maximum of 3 doses in a month.

    Adherence rates among our adult patients are quite good; over 70% of 253 PLHIV evaluated in 2010 had excellent adherence. Less than 10% (24 patients) of the studied population had poor adherence.

    Adherence is, however, difficult to achieve in geriatric HIV-infected patients because of the peculiarity of this age group. A few elderly patients, 73 years and above, who were treated in our facility in 2013 had initial perfect adherence until, after some time, they started to deny their status and stopped taking ARV drugs.

    To achieve near 100% adherence, we anchor ARV drug intake to our patients' daily routines, such as morning and evening prayer time or breakfast and dinner time. We also encourage adherence by asking them to find a treatment partner who will monitor their drug intake. Pill boxes and calendars, when available, are provided to check off dosing and avoid dose confusion.

    Three samples of pill boxes

    Home-Based Care

    This is care given to PLHIV in their homes. It involves comfort measures, such as proper positioning, aiding mobility, bathing, skin care, guidance and support for adequate nutrition. Other aspects of home-based care include relieving pain and itching, treating diarrhea and vomiting. In serious cases, patients are referred to the hospital for appropriate treatment. Additionally, family caregivers are educated on how to protect themselves from contact with patients' blood and body fluids by wearing gloves, using disinfectants and detergents to clean up the patient and the linen, and regularly washing their hands with soap and water.

    Palliative Care

    This is an essential component of care for PLHIV that aims to improve the quality of life of the patient and reduce the stress of care on both the healthcare worker and patient family caregiver. It is provided as symptomatic care to relieve a variety of discomforts PLHIV may experience during the course of their illness - such as pain, itching, diarrhea, cough, nausea, and seizures, etc.

    Medications that used to be available for Palliative care are as shown in the table below

    Medications for palliative Care
    Medical condition Available medication
    Analgesics Ethidine and amitriptyline
    Antidiarrheals Loperamide, codeine
    Anti allergic Calamine lotion chlorpheniramine
    Anti-nausea products Metoclopramide, promethazine
    Antitussive- Non specific cough Bromhexine, Codeine
    Anticonvulsants Diazepam, cabamazepine
    Neuroleptics Chlorpromazine, Haloperidol, Amytryptiline

    Pain is a common problem amongst PLHIV, it was present in 27.8% of our clients, and its intensity was of moderate to severe in 1 out of every 4 cases. Commonly affected parts of the body were the lower limbs (44.4%), head and neck, and the abdomen (32% each). Its causes are diverse but respond satisfactorily to palliative measures.

    Matchmaking

    This is one of our success stories that is carried out in our support group meetings. We encourage marriages between seropositive men and women and for this, we often break the ice and facilitate interactions amongst our patients who are singles, widowers or widows, and divorcees. We encourage commitment from both sides and once they understand each other's language, we step aside.

    By discouraging marriages between serodiscordant men and women, we are reducing viral transmission, reducing the number of infected babies, and reducing the number of orphans.

    Stigma and Discrimination

    Stigma is a set of attributes or characteristics used to qualify HIV-infected persons in a way that devalues them. Stigmatization of PLHIV is commonplace in Nigeria. Majority see immoral behavior as the cause of HIV infection, and this affects societal attitudes towards PLHIV. They are denied social interactions, some are denied employment or lose their jobs, and are sometimes barrier nursed in the hospitals.

    Stigma and discrimination are triggered by poor knowledge of how HIV infection is acquired and transmitted. This often leads to speculation and the buildup of myths about the disease. The danger is that stigmatization of PLHIV will deter people from going for HIV counseling and testing (HCT), and seropositive people will be infecting others ignorantly. It also delays PLHIV from having early diagnosis and initiation of treatment.

    This was my experience with a professional colleague who had HIV/Syphilis co-infection in 2007. Because of the fear of stigma in his place of work, diagnosis was delayed, and he developed neurological extension of syphilis - neurosyphilis. When diagnosis was finally made and treatment instituted, he got better and became stable, but because of fear of negative reactions from his colleagues, he abandoned hospital care for a prayer house therapy, which unfortunately cost him his life.

    Provision of DOTS Services

    Tuberculosis (TB) is a chronic bacterial infection caused by Mycobacterium tuberculosis (MTB) complex, a strict aerobic bacillus. In most infected individuals, the bacillus remains dormant for years because the host’s cell-mediated immunity will prevent it from developing into active TB. HIV, however, targets and depletes cells responsible for this protective immunity. In Nigeria now, HIV infection is the most potent risk factor for reactivation of latent TB focus and progression of new infection to active TB.

    About 27% of all TB cases in Nigeria are HIV co-infected, and it is the leading cause of death amongst them. Early in the course of HIV, TB manifests as a localized pulmonary disease (PTB). However, as immunity declines, clinical presentation becomes atypical, and TB now presents as extrapulmonary (EPTB), miliary, or disseminated disease.

    Our local data here in Ilorin suggest a rising prevalence of TB in this environment. This is a reflection of TB prevalence in the country at large. Salami et al. recorded a prevalence rate of 9.2% in 2002, which represented a 700% increase over a rate of 1.6% recorded 5 years earlier in a sentinel survey for HIV/TB co-infection in Kwara State.

    The rate of HIV/TB co-infection has also been rising over the years largely because of the HIV-induced immune dysregulation that enhances rapid progression of both diseases in co-infected patients. In 2001, the prevalence rate of HIV/TB co-infection was 12.6%. Sixty percent of the affected adults were below 50 years of age (15-44 years), the same age group that is most vulnerable to HIV infection.

    Five years later, in a study that reviewed the pattern and trend of HIV-associated TB in Ilorin, the rate of HIV/TB co-infection had increased to 40% amongst 744 TB cases seen over that period. Seventy-nine percent of these were HIV/PTB, and 21% were HIV/EPTB. The annual case detection rate had more than doubled to an average of 47 new cases diagnosed per year, as opposed to 21 new cases per year in the previous nine years (1991 to 1999). This observation is a wake-up call if the epidemic of HIV/TB co-infection is to be prevented in the country, in tandem with the prevailing wave of the HIV epidemic.

    Laboratory Diagnosis of TB

    We usually make a presumptive diagnosis of TB from microscopic observation of acid-fast bacilli (AFB) in the smear of specimens from infected tissue/fluid using Ziehl-Neelson (ZN) technique. Low sensitivity, however, is the major drawback of this method. In a study to determine the incidence and distribution of smear-positive TB in UITH in 2006, 17,535 pooled specimens of sputum (97%), urine (1.56%), and pleural aspirates (1.0%) were reviewed. Only 10.6% of these were smear-positive for AFB.

    However, our newly acquired fluorescent microscope (FM) - courtesy of IHVN that uses auramine-rhodamine stain - is a much more sensitive alternative. It picks up AFB where the ZN stain returns a smear-negative result. Of the 110 ZN-stained smear-negative reports in 2012, 67% became positive with FM (Salami, et al unpublished).

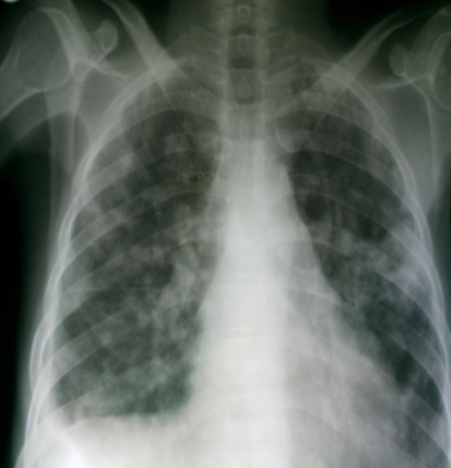
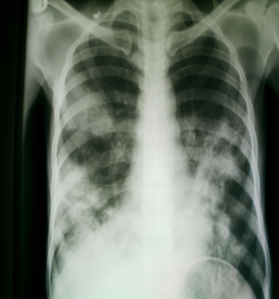
    It is important to acknowledge the role of X-ray imaging in the diagnosis of paucibacillary HIV/PTB co-infection and difficult-to-diagnose extrapulmonary TB, since high-tech diagnostic tools such as polymerase chain reaction and nucleic acid line probes are not yet available in our clinic.

    Bilateral soft nodular opacities worse in both lower lobes
    Right sided pleural effusion with nodular opacities

    Smear Isolation of Tubercle Bacilli

    Smear isolation of tubercle bacilli is essential for epidemiological monitoring of TB. The proportion of sputum smear-positive cases is calculated out of all new pulmonary cases and has an expected value of 55%-70%. It is a measure of a country’s national TB case detection rate (CDR). The lower it is, the higher the prevalence of TB in that region. Nigerian national CDR is low, 13%-16%, perhaps because of the inadequacy (45%) of the country DOTS coverage.

    A slightly better local annual CDR of 33.2% has, however, been established for UITH with a bimodal monthly distribution of cases. The first peak was at the beginning of the year (January to March), due to increased bacilli transmission during the cold, dusty weather of harmattan that commonly forces people indoors and in close contact for most of the time. The second peak was due to the annual end of the year (November to December) influx of people from different parts of the country for Christmas and New Year celebration as well as other festivities.

    Monthly Distribution of Smear Positive TB

    It is implemented with a six-month regimen of four drugs comprising isoniazid, rifampicin, pyrazinamide, and ethambutol, all in mg/kg body weight of the patient. Anti-TB and ARV drugs are free and both are dispensed to co-infected patients during a single clinic visit. Anti-TB chemotherapy is very effective amongst HIV-negative TB patients. Sputum conversion is rapid, and the cure rate is good when the diagnosis is made early, and DOTS initiated on time at the appropriate dosage and for the correct length of time.

    Monthly distribution of smear positive TB

    However, treatment outcomes were not always good amongst HIV/TB co-infected patients because of the increased pill burden and the overlapping toxicities of anti-TB and ARV drugs on the patients. In a review of management outcomes of 1,741 TB cases in 2003, only a 43.7% cure rate was achieved, 44.2% of the cases defaulted treatment, and 11.6% died. This cure rate was quite low when compared to the WHO's expected target of 85% from a good and effective TB control program. The national cure rate was only fair, ranging from 66% in 2003 to 72% in 2010.

    In managing dual HIV/TB co-infection, the rifampicin component of the anti-TB regimen significantly reduces the bioavailability of some ARV drugs (PIs and NNRTI) so much that these ARV drugs would be ineffective in suppressing HIV replication.

    Protease inhibitors Effect of Rifampicin
    Indinavir ↓90%
    Nelfinavir ↓82%
    Amprenavir ↓81%
    Saquinavir ↓80%
    Lopinavir/ritonavir ↓75%
    Ritonavir ↓35%
    NNRTI
    Nevirapine ↓37% - 58%
    Efavirenz ↓13% - 26%

    However, to limit mortality amongst HIV/TB co-infected patients, Anti-TB and ARV drugs have to be co-administered in the best acceptable combinations with the aim of managing any resultant adverse effects. This is mild in most cases, but could be severe in a few others. In our experience, hepatotoxicity, central nervous system toxicities such as paraesthesia, drug-induced psychosis and seizures, and cutaneous hypersensitivities such as urticaria, Steven Johnson syndrome, toxic epidermal necrolysis, and exfoliative dermatitis were common adverse drug reactions among TB/HIV co-infected patients.

    Health care workers (HCWs) are at risk of contracting HIV infection from occupational exposure, if necessary precautions are not observed. Such risks could result from contact with infected blood, use of unsterilized instruments, and accidental pricks from contaminated needles. We evaluated this risk among 300 HCWs of UITH, comprising 115 Doctors, 150 Nurses, and 35 Laboratory scientists who were directly involved with patient care, including PLHIV.

    Results showed that 78% had been using hypodermic needles on PLHIV, 84.6% had been handling patients’ tissues/body fluids, and 90.7% had been taking deliveries of seropositive and seronegative mothers. Above all, 57.7% of the respondents had had accidental needlestick injuries and spillage of patients’ body fluids. Despite this level of risk of exposure, just about half of them were willing to know their HIV status, and only 41.4% had ever had voluntary HCT.

    Health-care workers (HCWs) are also at a higher risk of acquiring work-related TB because of their repeated contacts with different categories of patients, including TB patients during the course of their hospital care. Hospital-related TB was diagnosed among 1.5% of the 2,173 staff at UITH in 2007. Pulmonary TB was the commonest (78.1%), followed by TB adenitis (12.4%), disseminated TB (6.3%), and TB spine (3.1%). HIV infection was the commonest risk factor.

    It is now common knowledge that cARV drugs have given PLHIV a favorable outlook the world over. HIV treatment programs have, therefore, scaled up across the land. We now have about 5,800 patients in care, and it would be immodest to say that there are no challenges of standards of care. A quality assurance committee was, therefore, set up in April 2009 with the responsibility of periodically evaluating service deliveries in the clinic and making appropriate recommendations for improvement if inadequacies are observed.

    The quality of clinical and laboratory services rendered to a cohort of 440 patients who had been in care for more than a year was conducted in 2010. The result was a wake-up call if quality is to be ensured. At recruitment into care, patients' weights, severity of their diseases, and laboratory profiles were assessed in about 80% of them. However, during follow-up visits, measurement of weights declined by 20%, CD4 cell counts were done in about half of them - 52%. While liver and renal function tests and lipid profiles were only done in 31%, 32%, and 36%, respectively.

    Result of this poor self-auditing was not due to HCWs' ineptitude but largely due to inadequacies of manpower to perform these tasks, energy to power the machines, and frequent breakdown of equipment and repeated stock-out of reagents/consumables for these tests. To ensure comprehensive quality of care, therefore, needed supports and logistics should be provided to us in the HAART clinic.

    The ultimate expectation of the world is to find a permanent cure for this disease. The reality for now is that this expectation may have to wait for a while, though a number of "functional cures" have been reported of late. None of these was a true cure but a preventive intervention by PEP in the case of the Mississippi baby born to an HIV positive mother who started cARV drugs within 30 hours of birth.

    The "Visconti cohort cure" was a case of rare genetic anomaly of high levels of HLA-B*07 and HLA-B*35 alleles63 that allow HIV infected patients to have a low viral load and low host cells reservoir. The reality, however, is that all the 14 French Visconti patients remained HIV seropositive till today but asymptomatic. The cure of the Berlin patient of his leukemia and HIV infection after he received a marrow transplant from a CCR5 deficient donor was temporary. Other co-factors aside CCR5 have facilitated HIV's entry into his cells, and he is again symptomatic and back on ART.

    One of the realities of HIV infection is that once an individual is infected, total eradication of the virus from his cells is not possible, at least for now, because of the virus in the host reservoir cells. To achieve a cure, however, HIV in reservoir host cells will have to be activated and made susceptible to ART to ensure total viral clearance.

    There have been several traditional claims of herbal cure for HIV/AIDS at local, national, and international levels. The reality is that there is no evidence that these herbs are effective in treating HIV infection. The immunopotency of aloe vera, moringa, ginsomin, beetroot, and many other herbs in restoring depleted CD4 cells in PLHIV has not been established. They should, therefore, not be taken at the expense of cARV drugs.

    Spiritual Cure

    Nigerians are quite religious, and they find great comfort from their Priests and Imams during chronic illnesses. These religious leaders provide good palliative care, but the idea of abandoning ARVs for long weeks of prayer and fasting to eradicate HIV is nothing but outright deceit and a suicidal engagement.

    HIV Vaccine

    Because of the sheer number of HIV types, its subtypes, and varieties of hybrids of the virus resulting from superinfection, as well as its continuous mutations during replication, it has been difficult to get a fixed target on the virus against which a neutralizing antibody could be developed.


    Icon

    Practice Questions

    Check how well you grasp the concepts by answering the following questions...

    1. This content is not available yet.
    Read More 🍪
    Comment Icon

    Send your comments, corrections, explanations/clarifications and requests/suggestions

    here

    Contributors


    Contributor 1 Avatar

    Jane Smith

    She is not a real contributor.

    Contributor 2 Avatar

    John Doe

    He is not a real contributor.