mtr.

Help make this better💜

Contribute here

Liver Neoplasms

Icon

What You Will Learn

After reading this note, you should be able to...

  • This content is not available yet.
Read More 🍪
Icon

    Note Summary

    Icon

    This content is not available yet.

    close

    Click here to read a summary

    • Hepatocellular origin:
      • Hepatocellular adenoma
      • Hepatocellular hyperplasia:
        • Focal nodular hyperplasia
        • Nodular regenerative hyperplasia
        • Macroregenerative nodule
        • Dysplastic nodules
    • Cholangiocellular origin:
      • Hepatic cysts:
        • Simple hepatic cysts
        • Polycystic liver disease
      • Biliary hamartoma
      • Biliary cystadenoma
      • Bile duct adenoma
    • Mesenchymal origin:
      • Mesenchymal hamartoma
      • Hemangioma
      • Infantile hemangioendothelioma
      • Lymphangioma
      • Lipoma/Angiomyolipoma/myelolipoma
      • Leiomyoma
      • Fibroma
    • Heterotopic tissue: Adrenal rests/Pancreatic rests


    Benign Malignant
    • Haemangioma
    • Focal nodular hyperplasia
    • Adenoma
    • Liver cysts
    • Nodular regenerative hyperplasia
    1. Primary liver cancers
      • Hepatocellular carcinoma
      • Fibrolamellar carcinoma
      • Hepatoblastoma
    2. Metastases

    • BLT are extremely frequent, varied, and mostly asymptomatic.
    • Each cellular component of the liver (e.g., hepatocyte, biliary, endothelial, or other mesenchymal cells) can undergo benign proliferation.
    • Only four lesions have common clinical relevance.

    Benign Liver Lesions

    1. Haemangioma
    2. Focal nodular hyperplasia
    3. Adenoma
    4. Cysts

    Haemangioma

    Clinical Features

    • The most common benign primary liver tumor.
    • Occurrence in the general population ranges from 0.4-20%.
    • Arises from endothelial cells that line blood vessels.
    • Usually single and small.
    • Well-demarcated capsule.
    • Usually asymptomatic.
    • RUQ pain, early satiety, and signs of portal hypertension may occur with giant haemangiomas.
    • Small lesions do not require follow-up imaging or treatment.

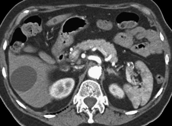
    Diagnosis

    • USS: echogenic spot, well demarcated.
    • CT scan: venous enhancement from periphery to center.
    • MRI: high-intensity area.
    • No need for fine needle aspiration for cytology (FNAC).
    • The best diagnostic tests for detection include contrast-enhanced CT scan or MRI.

    Treatment

    • No need for treatment.
    • Surgical resection for large tumor with associated symptoms.
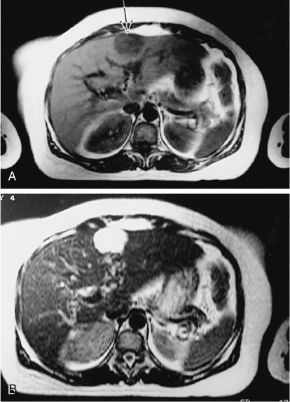
    Ultrasound Image of Hemangioma
    MRI of Hemangioma

    Focal Nodular Hyperplasia (FNH)

    • The second most common form of BLT.
    • Benign nodule formation of normal liver tissue.
    • Central stellate scar.
    • More common in young women between the ages of 20 and 30 years.
    • No relationship with sex hormones.
    • Usually asymptomatic and don’t require treatment.
    • May cause minimal pain.

    Diagnosis:

    • USS: Nodule with varying echogenicity.
    • CT: Hypervascular mass with central scar.
    • MRI: Iso or hypo intense lesion.
    • FNAC: Normal hepatocytes and Kupffer cells with central core.

    Treatment:

    • No treatment necessary.
    • If they are large, surgical removal is recommended to prevent the risk of rupture (but this is uncommon).

    Hepatic Adenoma

    Clinical Features

    • Are uncommon benign epithelial liver tumors in an otherwise normal-appearing liver.
    • Composed of normal hepatocytes, no portal tract, central veins, or bile ducts.
    • More common in women (20-44 years).
    • Usually in the right lobe, typically solitary (70-80%).
    • May be multiple in prolonged contraceptive use, glycogen storage diseases, and hepatic adenomatosis.
    • Associated with oral contraceptive use.
    • Usually asymptomatic but may have right upper quadrant (RUQ) pain.
    • May present with rupture, haemorrhage, or malignant transformation (very rare).
    Diagnosis
    • USS: Filling defect.
    • CT: Diffuse arterial enhancement.
    • MRI: Hypo or hyper intense lesion.
    • FNAC: May be needed.
    Treatment
    • Stop hormones or OCPs.
    • Observe every 6 months for 2 years.
    • If no regression then surgical excision.

    Nodular Regenerative Hyperplasia

    • A rare parenchymatous liver disease.
    • Characterized by diffuse benign transformation of the hepatic parenchyma into multiple small nodules (composed of regenerating hepatocytes).
    • Usually asymptomatic but can lead to the development of non-cirrhotic portal hypertension and its complications - oesophageal variceal bleeding, hypersplenism, and ascites.
    • Often associated with rheumatologic, autoimmune, hematologic, myeloproliferative disorders, immune deficiency states, and exposure to certain drugs and toxins.
    • Diagnosis is made by liver biopsy and may require an open or laparoscopic biopsy since nodules can be missed.

    Liver Cysts

    • May be single or multiple.
    • Polycystic liver disease is a hereditary condition that may be part of autosomal dominant polycystic kidney disease or may result from a different genetic mutation that leads solely to autosomal dominant polycystic liver disease.
    • Patients are often asymptomatic.
    • No specific management required.
    • Hydatid cyst.

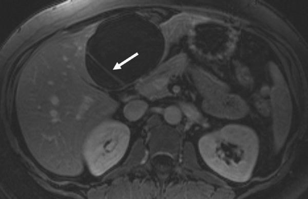
    Simple Cysts

    • Simple hepatic cysts are one of the commonest liver lesions, occurring in 2-7% of the population.
    • Are solitary more than 50% of the time and asymptomatic more than 90% of the time.
    • There may be a slight female predilection.
    • Usually incidental findings.
    • Size can range up to 20 cm, although most are less than 5 cm.
    • Asymptomatic simple cysts require no intervention but should be observed.
    • The symptoms are usually related to mass effect, causing pain in the right upper quadrant and occasionally early satiety.
    • Nausea, vomiting, and abdominal distension may also be present.
    • Rarely, intra-cystic hemorrhage and infection may develop.
    • Treatment options for symptomatic cysts include: aspiration with or without sclerosants, laparoscopic unroofing, cystojejunostomy, and resection.
    Simple cysts MRI

    Liver Cysts

    • If multiple simple cysts are seen, consider polycystic liver disease.
    • This is an inherited condition (autosomal dominant), often found in association with renal cysts.
    • The majority of patients with polycystic liver disease remain asymptomatic with preserved liver function and do not require surgical intervention.
    • Fenestration is a technique that combines aspiration with surgical deroofing of a cyst in a single procedure.

    Complex Cysts

    • Radiologically, internal septations are almost always seen in cystadenomas on contrast-enhanced CT or MRI.
    • A biliary cystadenoma is an uncommon benign cystic neoplasm of the liver.
    • Occur predominantly in middle-aged patients and are more common in women.
    • Cystadenomas have irregular borders and a thick stromal layer, and calcifications and mural nodules can occasionally be seen in the walls.
    • Variable clinical presentation depending on size and location of the cyst.
    • Symptoms may include RUQ pain, obstructive jaundice, palpable liver edge or mass, increasing abdominal girth (large tumors), nausea, vomiting.
    • There is no association with OCPs.
    • Best treatment is surgical resection as 15% of tumors undergo malignant transformation.
    Complex cysts MRI

    1. Hepatocellular carcinoma (HCC)
    2. Fibrolamellar carcinoma of the liver
    3. Hepatoblastoma
    4. Intrahepatic cholangiocarcinoma
    5. Others - lymphoma

    Hepatocellular Carcinoma (HCC)

    Incidence

    • The most common primary liver cancer.
    • HCC is the 5th commonest cancer in the world but the 3rd commonest cause of cancer death.
    • Worldwide, it is responsible for 600,000 deaths annually.
    • The average duration of illness in Nigeria from onset of symptoms to death is 16.3 weeks (approximately 4 months).
    • Screening is therefore recommended in high-risk persons for HCC.

    Risk Factors

    The most important risk factor is cirrhosis from any cause:

    1. Hepatitis B (integrates in host DNA)
    2. Hepatitis C
    3. Significant alcohol consumption
    4. Non-alcoholic steatohepatitis
    5. Autoimmune hepatitis
    6. Genetic haemochromatosis
    7. Primary biliary cirrhosis
    8. α1-antitrypsin deficiency
    9. Aflatoxin
    10. Positive family history of HCC

    Clinical Features

    • Weight loss and RUQ pain (most common).
    • Abdominal swelling/mass.
    • Asymptomatic in early disease.
    • Worsening of pre-existing chronic liver disease.
    • Acute liver failure.

    O/E:

    • Signs of cirrhosis.
    • Hard enlarged RUQ mass.
    • Liver bruit.

    Metastases

    • Rest of the liver
    • Portal vein
    • Lymph nodes
    • Lungs
    • Bone
    • Brain

    Systemic Features

    • Hypercalcemia
    • Hypoglycemia
    • Polycythemia

    Laboratory Tests

    • Lab features of liver cirrhosis may be present.
    • AFP (Alpha-fetoprotein)
      • Is a tumor marker for HCC.
      • Serum AFP value >200ng/ml plus imaging evidence of focal hepatic lesion is highly specific for HCC diagnosis.
      • Elevation seen in more than 70% of patients.

    Diagnosis

    • Clinical presentation
    • Elevated AFP
    • Abdominal USS
    • Triple-phase helical CT scan
    • Contrast-enhanced MRI
    • The presence of arterial enhancement followed by washout has a sensitivity and specificity of 90% and 95%, respectively.
    • Biopsy

    Prognosis

    • Tumor size
    • Extra-hepatic spread
    • Underlying liver disease
    • Patient performance status
    BCLC Classification, Staging and Treatment

    Treatment Options for HCC

    • Surgery
      1. Hepatic resection
      2. Liver transplantation
    • Loco-Regional Therapies
      1. Percutaneous ethanol injection (PEI)
      2. Radiofrequency ablation (RFA)
      3. Microwave ablation
      4. Cryoablation
      5. High intensity focused ultrasound ablation
      6. Transarterial chemoembolization (TACE)
    • Systemic chemotherapy (e.g., sorafenib) and radiotherapy
    • Symptomatic treatment

    Hepatic Resection

    • Feasible for small tumors with preserved liver function (no jaundice or portal hypertension).
    • The treatment of choice for HCC without background cirrhosis.
    • Only 5%-15% of HCC patients are eligible (much less in Nigeria).
    • Survival rates: 1 year 97%, 3 years 84%, and 5 years 26%-57%.
    • Factors affecting recurrence include: tumor size, number of tumors, vascular invasion, and width of resection margin.

    Liver Transplantation

    • Performed in patients with non-resectable tumor but confined to the liver or in those with background cirrhosis & poor liver function.
    • Only if single tumor ≤ 5cm or maximum of 3 tumors each < 3 cm in diameter.
    • No evidence of large vessel invasion nor extra-hepatic spread.
    • It requires lifelong immunosuppression, is expensive, and not widely available.

    Local Ablation

    • For non-resectable tumors.
    • For patients not eligible for liver transplantation.
    • Percutaneous Alcohol / Ethanol injection.
    • Radiofrequency ablation.
    • Transarterial chemo-embolization (TACE).
    • Temporary measures only.

    Percutaneous Ethanol Injection (PEI)

    • Minimally invasive percutaneous treatment modality reserved for early HCC not eligible for hepatic resection or transplantation.
    • Procedure consists of injection of absolute alcohol directly into tumor nodules under US or CT guidance. Two to 12 ml of alcohol is injected twice/week on an outpatient basis for 2-15 sessions.
    • The best survival rates for PEI are obtained for tumors < 3cm and < 3 lesions.
    • Other less utilized agents for injection are acetic acid and hot saline.
    Ethanol Injection USS

    Radiofrequency Ablation (RFA)

    • RFA is the preferred ablative treatment for tumors 3-5 cm in diameter.
    • It is superior to PEI, requires fewer sessions, has lower local recurrence, and longer overall as well as disease-free survival.
    • Indications include:
      1. Very early stage HCC not amenable to resection.
      2. Early stage HCC not suitable for liver transplantation.
      3. Patients with waiting times > 3 months.
    Radiofrequency Ablation

    Chemo-embolization

    • Inject chemotherapeutic agent selectively in hepatic artery.
    • Then inject an embolic agent.
    • Embolization may be done alone (transarterial embolization) or combined with selective intra-arterial chemotherapy (TACE) using doxorubicin, mitomycin, or cisplatin and lipiodol (contrast media).
    • To be effective, it should be limited to patients with preserved liver function, absence of extrahepatic spread or vascular invasion, and no significant cancer-related symptoms.
    • The purpose of embolization is to induce ischemic tumor necrosis via acute (hepatic) arterial occlusion.
    Chemo-embolization

    Systemic Chemotherapy

    • Sorafenib, an oral multikinase inhibitor, is recommended in patients with advanced HCC.
    • Sorafenib is given at a dose of 400mg PO twice daily.
    • Improved survival of 11 months has been demonstrated with sorafenib.
    • Combination with doxorubicin IV 60mg/m2 adds an extra 3 months to the survival.
    • Erlotinib, an inhibitor of endothelial growth factor receptor signaling, has also shown promising results.

    Fibrolamellar Carcinoma

    • Presents in young patients (5-35 years of age).
    • Not related to cirrhosis.
    • AFP is normal.
    • CT shows typical stellate scar with radial septa showing persistent enhancement.

    Secondaries or Metastases to the Liver

    • The most common site for blood-borne metastases.
    • Common primaries: colon, breast, lung, stomach, pancreas, and melanoma.
    • Mild cholestatic picture (ALP, LDH) with preserved liver function.
    • Diagnosis: imaging or FNAC.
    • Treatment depends on the primary cancer.
    • In some cases, resection or chemo-embolization is possible.

    • Liver cirrhosis of any cause
      • Especially those who are HBeAg positive or have serum HBV DNA levels ≥ 2,000 IU/ml.
      • Africans above 20 years of age.
      • Asian males ≥ 40 years.
      • Asian females ≥ 50 years.
    • HBsAg positive patients.
    • Individuals with positive antibodies to HCV or increased serum HCV RNA.
    • Positive family history of HCC.
    • Significant alcohol consumption.
    • Genetic hemochromatosis.
    • Primary biliary cirrhosis.
    • Elevated serum alpha fetoprotein (> 20ng/ml).

    • HCC still carries a dismal prognosis especially when it has become symptomatic.
    • Current emphasis, therefore, is on diagnosis during the early asymptomatic stage by regular screening of high-risk individuals.
    • Universally accepted screening tools are serum alpha-fetoprotein & Abd. USS or CT Scan or MRI.
    • Any lesion detected during screening is confirmed by triple-phase helical CT or contrast-enhanced MRI or by targeted biopsy.

    Icon

    Practice Questions

    Check how well you grasp the concepts by answering the following questions...

    1. This content is not available yet.
    Read More 🍪
    Comment Icon

    Send your comments, corrections, explanations/clarifications and requests/suggestions

    here

    Contributors


    Contributor 1 Avatar

    Jane Smith

    She is not a real contributor.

    Contributor 2 Avatar

    John Doe

    He is not a real contributor.