mtr.

Help make this better💜

Contribute here

Epilepsy

Icon

    What is epilepsy?

    A disorder of the brain characterized by an ongoing liability to recurrent seizures.

    NB: This excludes patients with single Szs, provoked Szs, and febrile Szs.

    What is an epileptic Sz (epileptic fit)?

    A transient occurrence of signs and/or symptoms due to abnormal, excessive, or synchronous neuronal activity in the brain.

    Provoked seizure (acute symptomatic Sz)

    This is a Sz resulting from an obvious and immediate preceding cause (e.g., acute systemic or metabolic disturbance) or a recent acute cerebral damage (e.g., infection, trauma).

    Febrile Seizure

    An epileptic event occurring in the context of an acute rise in body temperature, usually in children between 6 months and 6 years of age in whom there is no evidence of intracranial infection.

    Status epilepticus

    This is a single epileptic seizure lasting more than five minutes or two or more seizures within a five-minute period without the person returning to normal between them.

    NB: Previous definitions used a 30-minute time limit.

    New ILAE Definition of Epilepsy (April, 2014)

    Epilepsy is a disease of the brain defined by any of the following conditions:

    1. At least two unprovoked (or reflex) seizures occurring >24 hrs apart
    2. One unprovoked (or reflex) seizure and a probability of further seizures similar to the general recurrence risk (at least 60%) after two unprovoked seizures, occurring over the next 10 years
    3. Diagnosis of an epilepsy syndrome

    It is the commonest neurological disorder affecting people of all ages, races, and social strata.

    There is an estimated 50 million people with epilepsy in the world with ≈75% of these in resource poor countries.

    Incidence:

    • 50-80 cases per 100,000 persons per year in most studies
    • 40-70 per 100,000 per year in developed countries
    • 100-190 per 100,000 per year in developing countries

    Incidence is highest in the first year of life, remains high in childhood, and then falls to low levels in early adult life but rises again in late life.

    Point prevalence: 4-10 cases per 1,000 persons.

    More common in underdeveloped countries possibly as a result of:

    • Poor perinatal care
    • CNS infections
    • Increased risk of brain injury

    Normally, there is a restriction of spread of electrical activity between cortical neurons.

    During a sz, there is a repetitive and hypersynchronous activation of a large group of neurons.

    There is also a loss of the normal inhibitory synaptic contact between neurons.

    What Makes an Area of the Brain Epileptogenic?

    An area of the brain is epileptogenic because of a predisposition to hyperexcitability.

    This predisposition could be from abnormal development and migration pattern in utero or it could be acquired.

    Classification of the Epilepsies

    1st Level: Classification of the seizure type

    2nd Level: Classification of epilepsy type (with an assumption of a diagnosis of epilepsy based on 2014 definition).

    3rd Level: Diagnosis of Epilepsy syndrome: In many cases, a specific epilepsy syndrome diagnosis can be made.

    Efforts to identify the aetiology of the patient’s epilepsy should be made at each step in the diagnostic pathway.

    Classification of seizure type and epilepsy type both take into account the results of investigations such as EEG and neuroimaging studies together with other studies exploring the underlying aetiology of the epilepsy.

    Classification of Seizure Type

    Focal-onset seizures are defined as “originating within networks limited to one hemisphere. They may be discretely localized or more widely distributed. Focal seizures may originate in subcortical structures.”

    Generalized from onset seizures are defined as “originating at some point within, and rapidly engaging, bilaterally distributed brain networks.” There is always impairment of awareness.

    Unknown onset seizures may still show evidence of certain defining motor (e.g., tonic–clonic) or nonmotor (e.g., behaviour arrest) characteristics.

    ILAE 2017 classification of seizure
    Expanded ILAE 2017 classification of seizure

    Classification of Epilepsy Type

    Focal Epilepsy: Includes unifocal and multifocal disorders as well as seizures involving one hemisphere. The interictal EEG typically shows focal epileptiform discharges, but the diagnosis is made on clinical grounds, supported by EEG findings.

    Generalized Epilepsy: The diagnosis of generalized epilepsy is made on clinical grounds, supported by the finding of typical interictal EEG discharges. The patient would typically show generalized spike-wave activity on EEG.

    Combined Generalized and Focal Epilepsy: The diagnosis is made on clinical grounds, supported by EEG findings. The interictal EEG may show both generalized spike-wave and focal epileptiform discharges, but epileptiform activity is not required for the diagnosis. Common examples in which both types of seizures occur are Dravet syndrome and Lennox-Gastaut syndrome.

    Unknown: The patient has epilepsy but the clinician is unable to determine if the epilepsy type is focal or generalized because there is insufficient information available.

    ILAE 2017 framework for classification of the epilepsies

    Focal Seizures

    Focal Aware (Simple Partial) Seizure

    • Consciousness is intact
    • Most cases last only a few seconds
    • Due to focal cerebral disorder
    • Common sites include frontal and temporal lobes and the location determines the clinical manifestation

    Manifestations of Focal Aware (Simple Partial) Seizure

    Motor:

    • Jerking, spasms, posturing, version, dysarthria, respiratory arrest.

    Somatosensory or Special Sensory:

    • Tingling sensation, burning or pain (epilepsy involving central or parietal regions), flashing lights or colours (calcarine cortex), rising epigastric sensation (mesial temporal lobe).

    Autonomic:

    • Changes in skin colour, BP, HR, pupil size.

    Psychic:

    • Occurs particularly in epilepsy arising from a temporal focus.
    • It could be in the form of dysphasic symptoms, dysmnestic symptoms e.g. déjà vu, jamais vu, panoramic experiences (recollection of previous experiences, former life or childhood), cognitive symptoms e.g. a feeling of unreality or depersonalization, affective symptoms e.g. fear, depression, anger; illusion of size (micropsia, macropsia); structured hallucinations of visual, auditory, gustatory or olfactory forms.

    Focal with Impaired Awareness (Complex Partial) Seizure

    These arise from:

    • Temporal lobe (60%)
    • Frontal lobe (30%) and
    • Other cortical areas (10%)

    Usually characterized by 3 components viz:

    • Aura, altered consciousness and automatisms

    Automatisms

    Most common in temporal and frontal lobe seizures and include:

    • Oroalimentary e.g. lip smacking, chewing, swallowing, etc
    • Gestural and Motor automatisms e.g. tapping, patting, ordering, and tidying movements.
    • Ambulatory automatisms: e.g. walking, cycling, running. These are often seen in seizures of frontal lobe origin.
    • Verbal automatisms: meaningless sounds, humming, whistling, etc
    • Responsive automatism: a quasi-purposeful behavior which is seemingly responsive to environmental stimuli.

    Generalized Seizures

    Features of Generalized Seizure

    • Consciousness is impaired from onset of the attack
    • Motor changes are bilateral and more or less symmetric
    • EEG changes are bilateral, grossly synchronous, and symmetrical over both hemispheres.

    Typical Absence Seizure

    Characterized by a sudden loss of consciousness (the absence) and cessation of all motor activities

    • Tone usually preserved, hence there is no fall
    • The attack ends as abruptly as it started and previous activity is resumed as if nothing had happened
    • There is no confusion but the patient is often unaware that an attack had happened
    • Most attacks last less than 10 seconds
    • There may be several attacks in a day and attacks tend to cluster especially when the patient is fatigued or drifting off to sleep
    • Precipitants include fatigue, drowsiness, hyperventilation, photic stimulation.
    • Typical absence seizures develop in childhood or adolescence.

    Myoclonic Seizure

    This is a brief contraction of a muscle, muscle group, or several muscle groups due to a cortical discharge

    Recovery is immediate and the patient often maintains that consciousness was not lost

    Tonic-Clonic Seizure

    • This is the classic form of epileptic convulsion
    • Can occur at any age
    • Seizure is initiated by loss of consciousness and sometimes the epileptic cry
    • Tonic stage lasts 10-30 seconds and is followed by the clonic phase during which convulsive movements of all limbs, jaw, and facial muscles occur.
    • Saliva (sometimes blood-stained due to tongue biting) may froth from the mouth
    • Clonic phase lasts 30-60 seconds and is followed by a further brief tonic contraction of all muscles, sometimes with incontinence.

    • Structural e.g. post-traumatic
    • Genetic
    • Infectious e.g. neurocysticercosis, toxoplasmosis, HIV
    • Metabolic e.g. porphyria, uraemia
    • Immune e.g. immune-mediated encephalitis
    • Unknown

    CAUSES ACCORDING TO AGE GROUPS

    Neonates

    • Perinatal hypoxia and ischemia
    • Intracranial hemorrhage and trauma
    • Acute CNS infection
    • Metabolic disturbances (hypoglycemia, hypocalcemia, hypomagnesemia, pyridoxine deficiency)
    • Drug withdrawal
    • Developmental disorders
    • Genetic disorders

    Infants and Children (>1 Month to < 12 yrs)

    • Febrile seizures
    • Genetic disorders (metabolic, degenerative, primary epilepsy syndromes)
    • CNS infection
    • Developmental disorders
    • Trauma
    • Cryptogenic

    Adolescents (12-18 yrs)

    • Trauma
    • Genetic disorders
    • Infection
    • Brain tumor
    • Illicit drug use
    • Cryptogenic

    Young adults (18-35 yrs)

    • Trauma
    • Alcohol withdrawal
    • Illicit drug use
    • Brain tumor
    • Cryptogenic

    Older adults (>35 yrs)

    • Cerebrovascular disease
    • Brain tumor
    • Alcohol withdrawal
    • Alzheimer's disease and other degenerative CNS diseases
    • Cryptogenic

    History and Examination

    • Determine whether the event was truly a Sz - this requires a detailed history because in many cases the diagnosis of sz is based solely on clinical grounds (the physical examination and investigations are often normal)
    • Hx of what occurred before, during, and after the event should be obtained.
    • An eye witness account is very important
    • Focus on unraveling the predisposing and risk factors
    • Detailed general and neurological examination.

    Investigations

    Laboratory studies: Depends on what is suspected;

    • FBC
    • E&U + Cr
    • Serum glucose
    • LP if meningitis or encephalitis is suspected. Mandatory in HIV even in the absence of other symptoms.

    Electrophysiologic Studies

    EEG

    • Absence Sz: 3 Hz spike and slow wave discharge that is accentuated by hyperventilation
    • GTCSz: Generalized spike and slow wave discharges
    • Focal Sz: Focal EEG abnormalities e.g. spikes, sharp waves, focal slowing.
    EEG: Typical absence Sz
    EEG: GTCSz

    Neuroradiological Investigations

    CT scan

    MRI

    fMRI

    These are useful if mass lesions are suspected or in preparation for surgery.

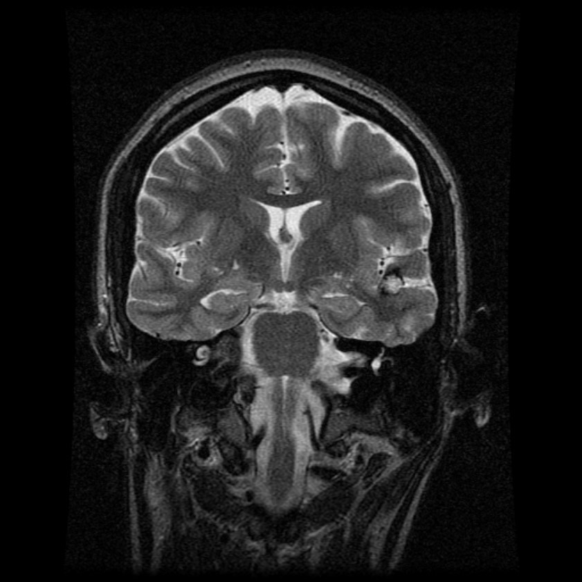
    Hypocampal sclerosis

    Differential Diagnosis

    Syncope

    • Vasovagal syncope
    • Cardiac arrhythmia
    • Orthostatic hypotension

    Metabolic disturbances

    • Alcoholic blackouts
    • Hypoglycemia
    • Hypoxia
    • Psychoactive drugs (e.g., hallucinogens)

    Sleep disorders

    • Narcolepsy/cataplexy
    • Benign sleep myoclonus

    Psychological disorders

    • Psychogenic seizure
    • Hyperventilation
    • Panic attack

    • Treatment of underlying condition
    • Education on avoidance of precipitating factors
    • Use of antiepileptic drug
    • Surgical treatment

    CHOICE OF ANTIEPILEPTIC DRUG
    All Seizure Types
    Traditional AEDs New AEDs
    • Valproic acid
    • Benzodiazepines: (clonazepam, clobazam, diazepam)
    • Felbamate
    • Lamotrigine
    • Levetiracetam
    • Topiramate
    • Zonisamide
    Partial and Generalised TC Sz
    Traditional AEDs New AEDs
    • Carbamazepine
    • Phenytoin
    • Gabapentin
    • Oxcarbazepine
    • Pregabalin
    • Tiagabine
    • Vigabatrin
    • Retigabine
    • Rufinamide
    All seizure types except absences: Absence seizures:
    • Phenobarbital
    • Primidone
    • Ethosuximide

    Surgical Treatment of Refractory Epilepsy

    20-30% of cases are resistant to medical therapy and may require surgery.

    In some symptomatic epilepsies, surgery is the main treatment in order to take care of the underlying problem.

    Vagus nerve stimulation for some who are poor surgical candidates.


    Comment Icon

    Send your comments, corrections, explanations/clarifications and requests/suggestions

    here Image Icon